Eдиный контактный центр
Южное Бутово
ул. Адмирала Лазарева, д. 58,
ул. Бунинская Аллея, д.2
Поиск

Цыганок Роман Сергеевич

врачебный стаж с 2014 года
более 2 850 пациентов
Врач стоматолог-ортопед. Специалист по съемному и несъемному протезированию, эксперт по планированию имплантации
записаться на консультацию
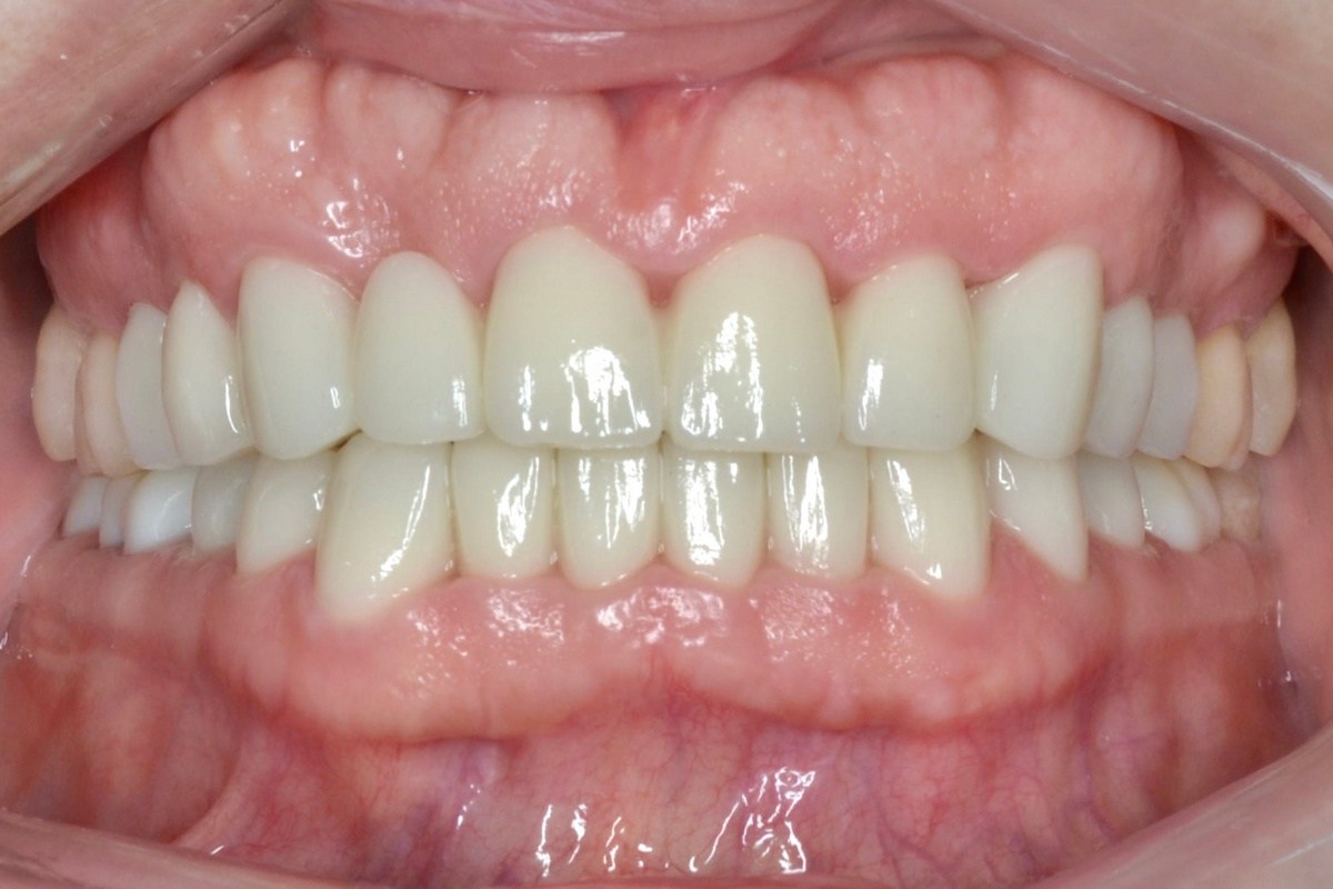
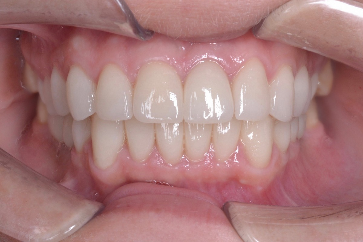
Работы врача
Дипломы и сертификаты
Что будет происходить на первом приеме?
Рассказываем, как в нашей клинике проходит бесплатная первичная консультация с врачом
Осмотр полости рта
После беседы врач проводит визуальный осмотр полости рта, чтобы оценить состояние зубов и десен.
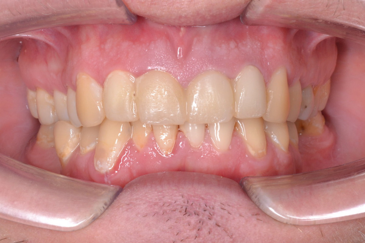
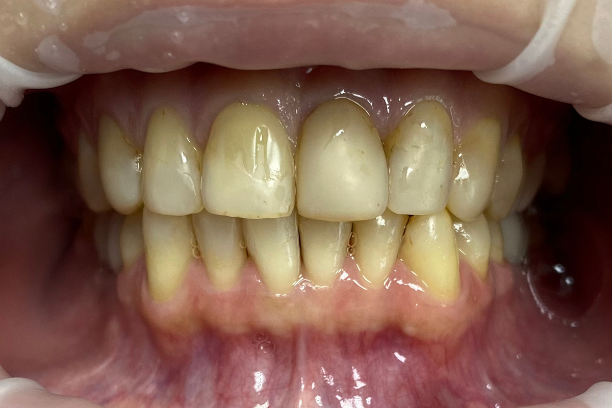
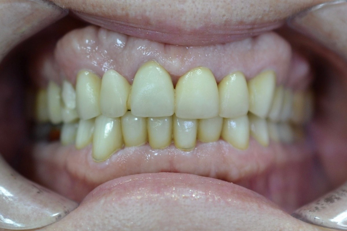
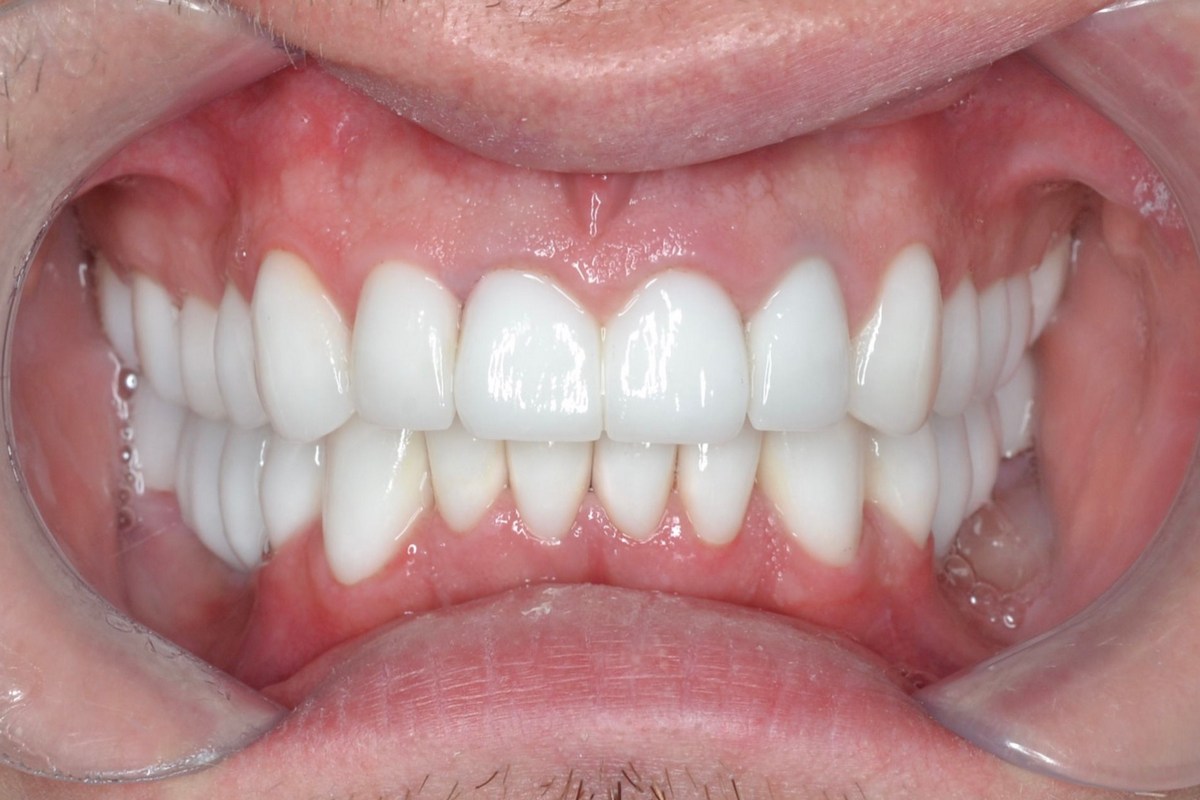
Фотопротокол
На фото вы увидите свои зубы, врач покажет и объяснит по снимку, какие проблемы на данный момент есть, а по окончанию лечения вы сможете увидеть разницу.
Компьютерная томография
КТ поможет полноценно оценить клиническую картину и увидеть то, что нельзя распознать при инструментальном осмотре и рентгене.
Составление плана лечения
После диагностики доктор составляет план дальнейших приемов и процедур.