2010г. — Смоленская Государственная Медицинская Академия. Диплом с отличием. г.Смоленск.
2011г. — Удостоверение об окончании интернатуры по специальности «Стоматология общей практики» ГОУ ВПО «Смоленская Государственная Медицинская Академия Федерального агентства по здравоохранению и социальному развитию». г.Смоленск.
2011г. — Сертификат по «Стоматологии общей практики» ГОУ ВПО «Смоленская Государственная Медицинская Академия Федерального агентства по здравоохранению и социальному развитию». г.Смоленск.
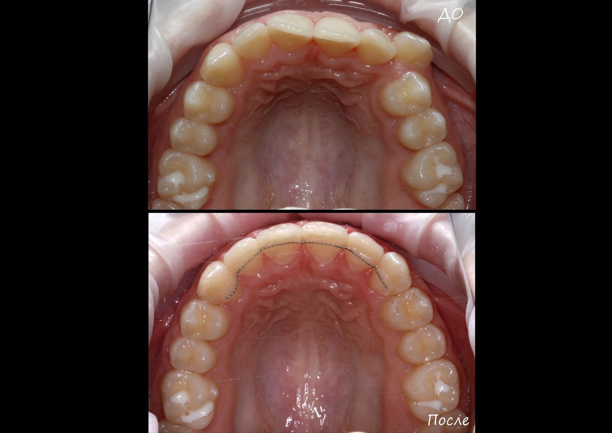
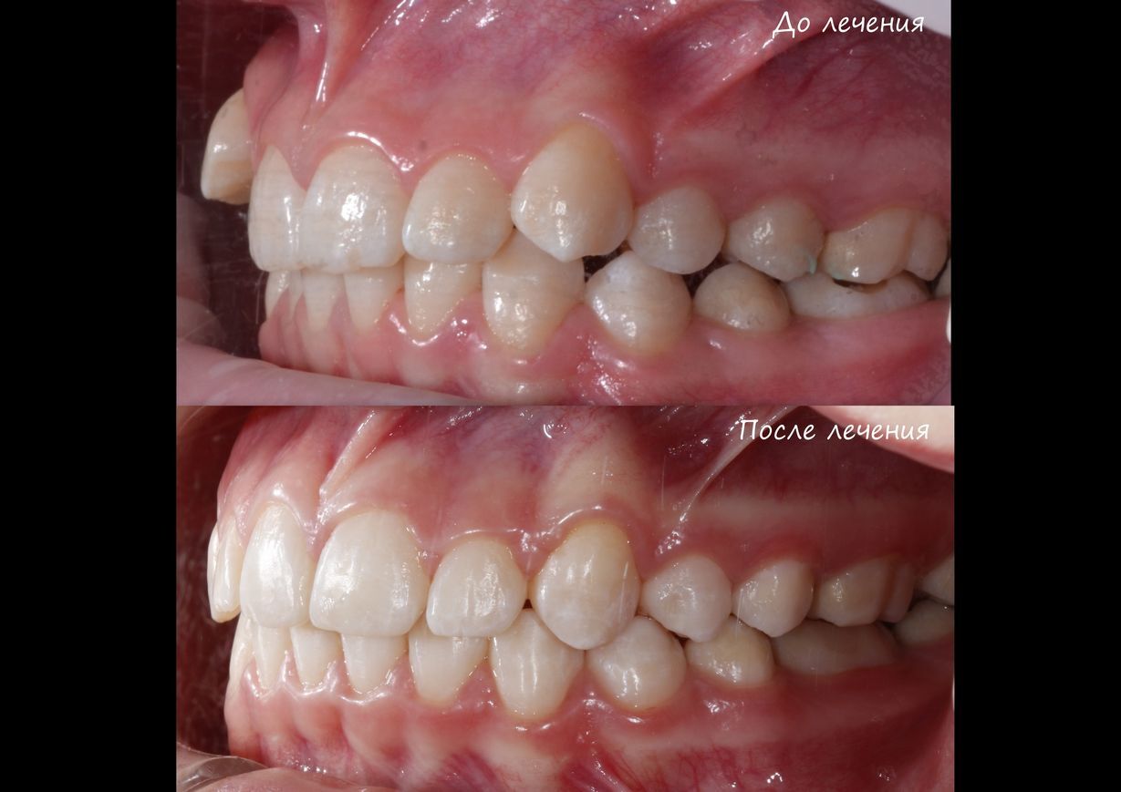
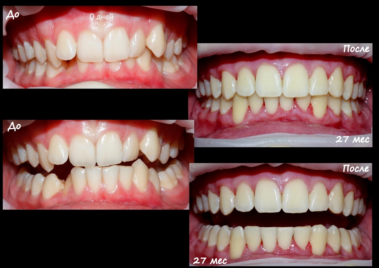
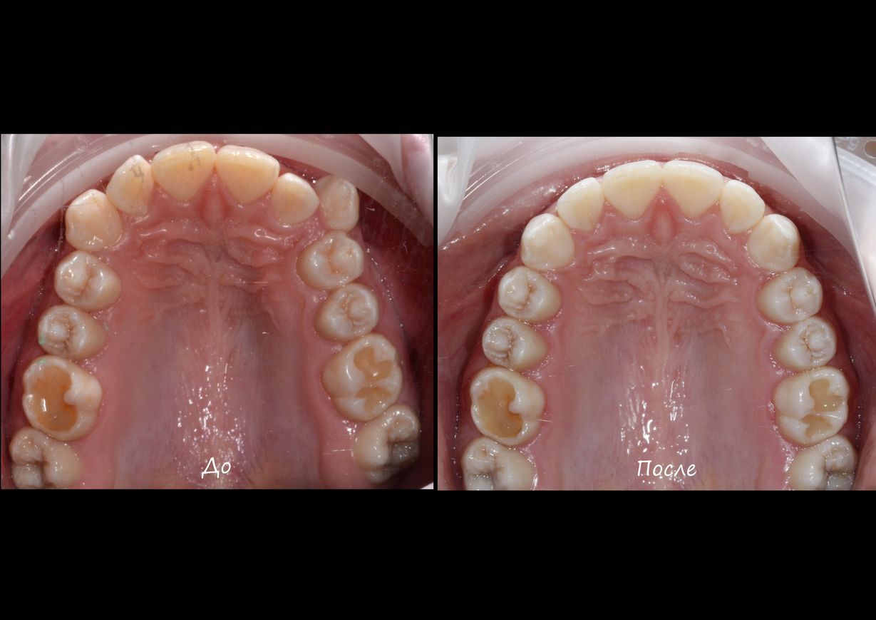
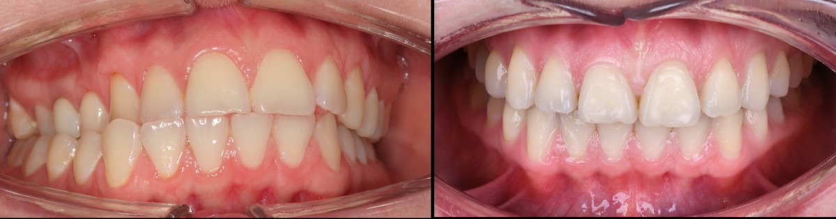
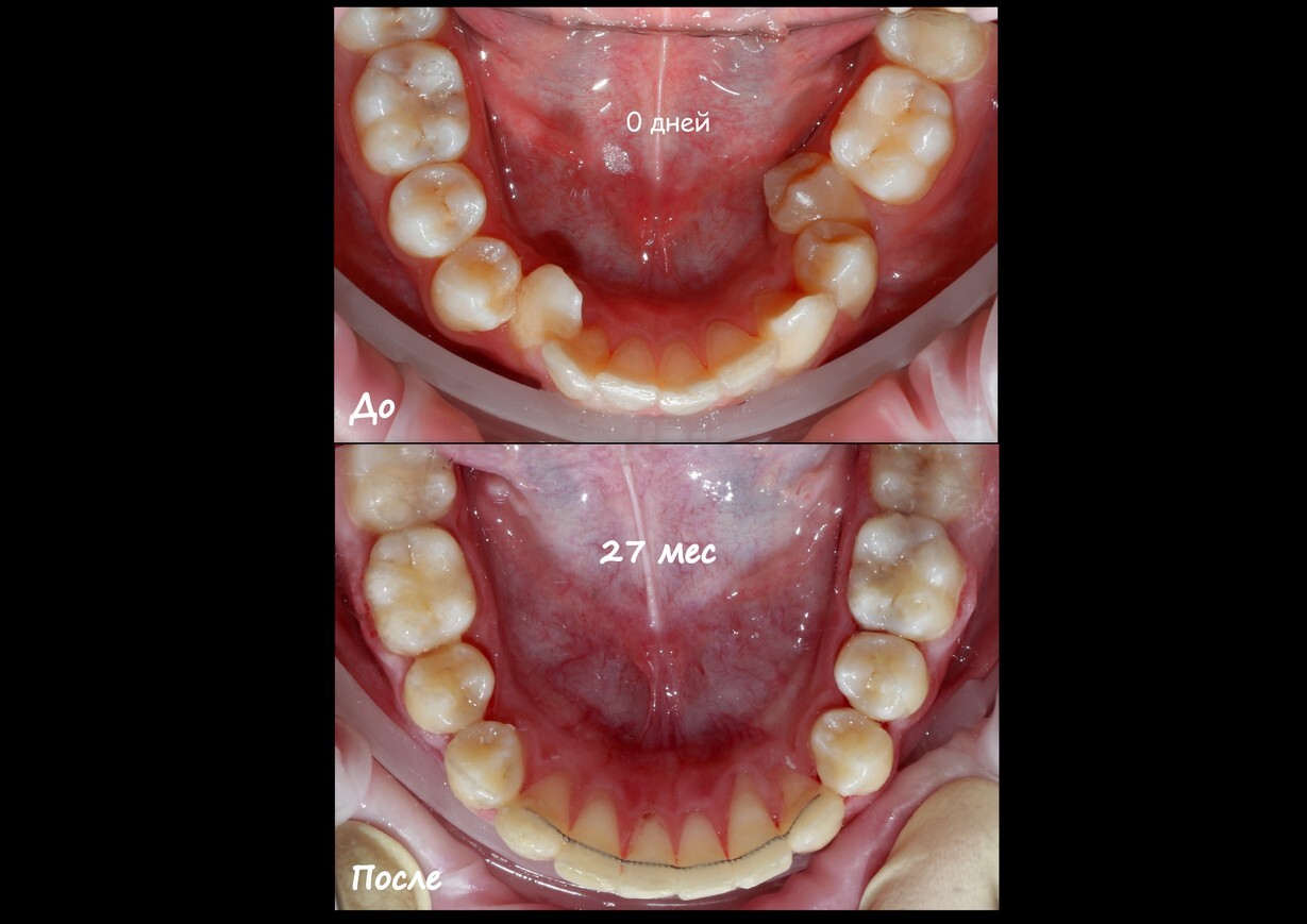
2013г. — Диплом о профессиональной образовании (ординатура) по специальности «Ортодонтия» ГОУ ВПО «Смоленская Государственная Медицинская Академия Федерального агентства по здравоохранению и социальному развитию». г.Смоленск
2013г. — Сертификат специалиста по специальности «Ортодонтия» ГОУ ВПО «Смоленская Государственная Медицинская Академия Федерального агентства по здравоохранению и социальному развитию». г.Смоленск.
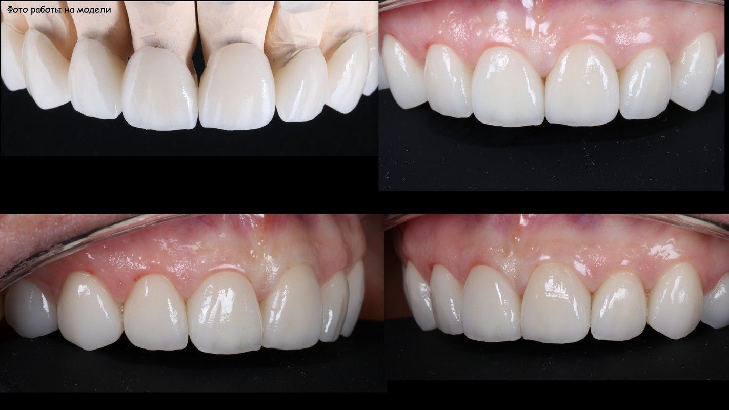
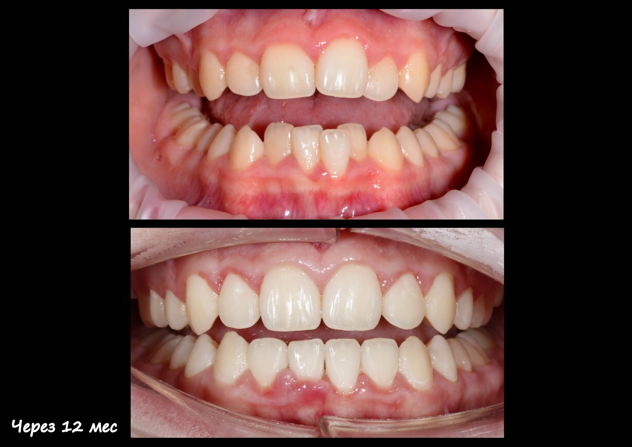
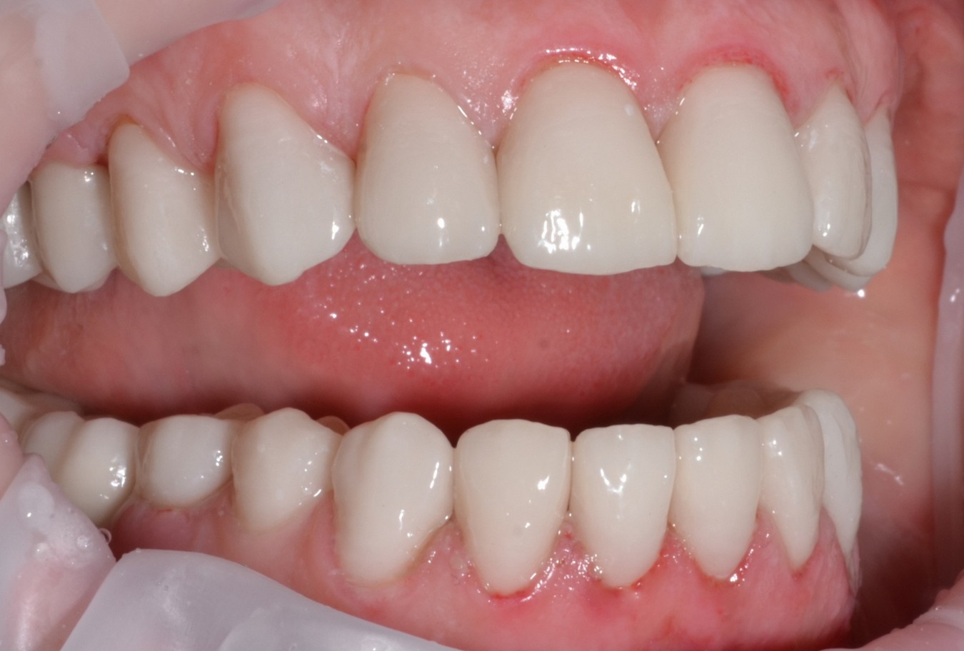
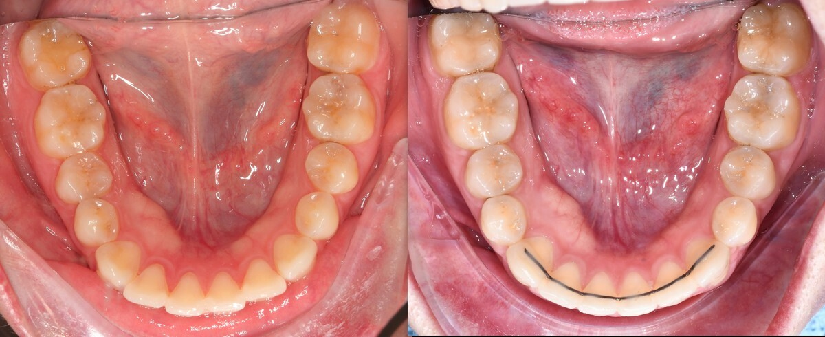
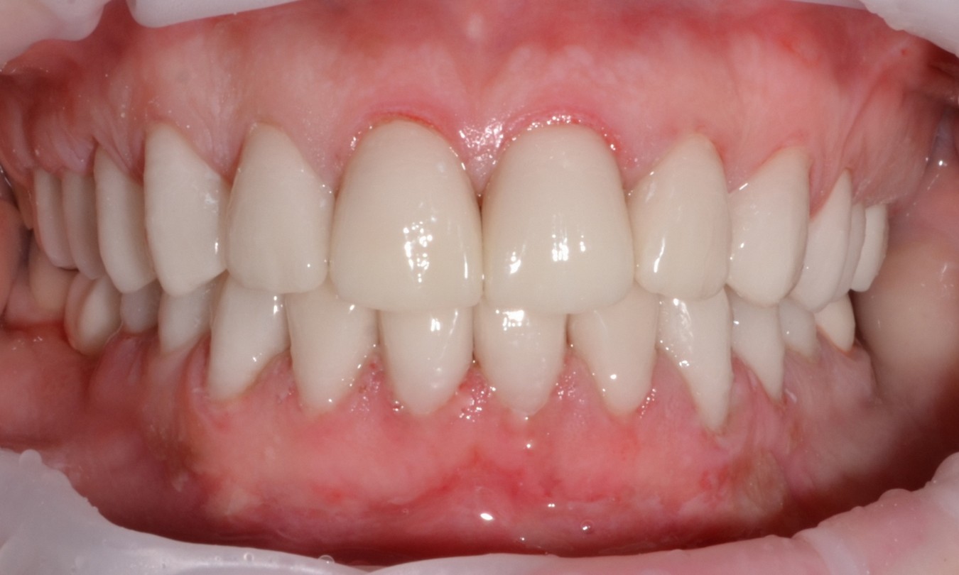
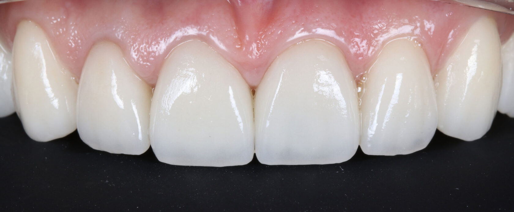
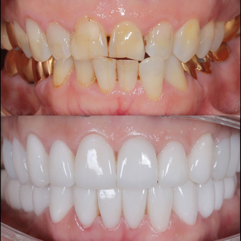
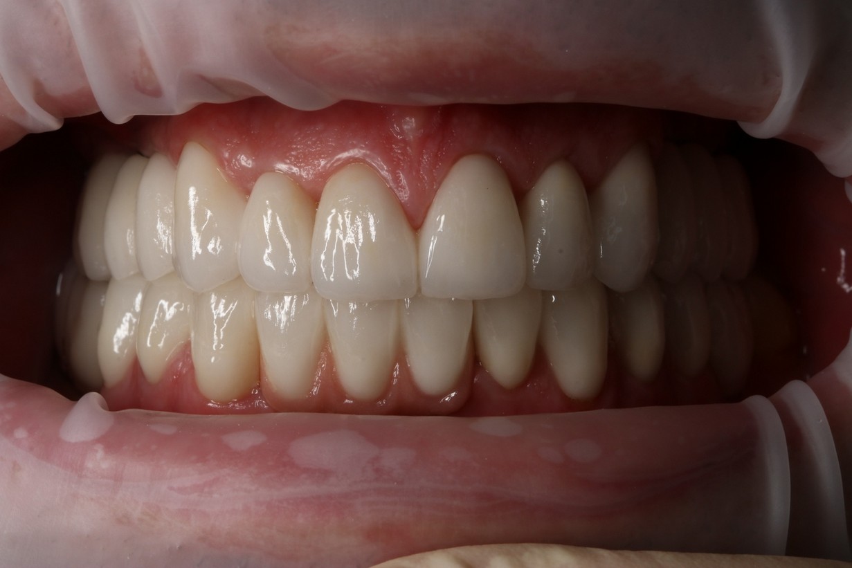
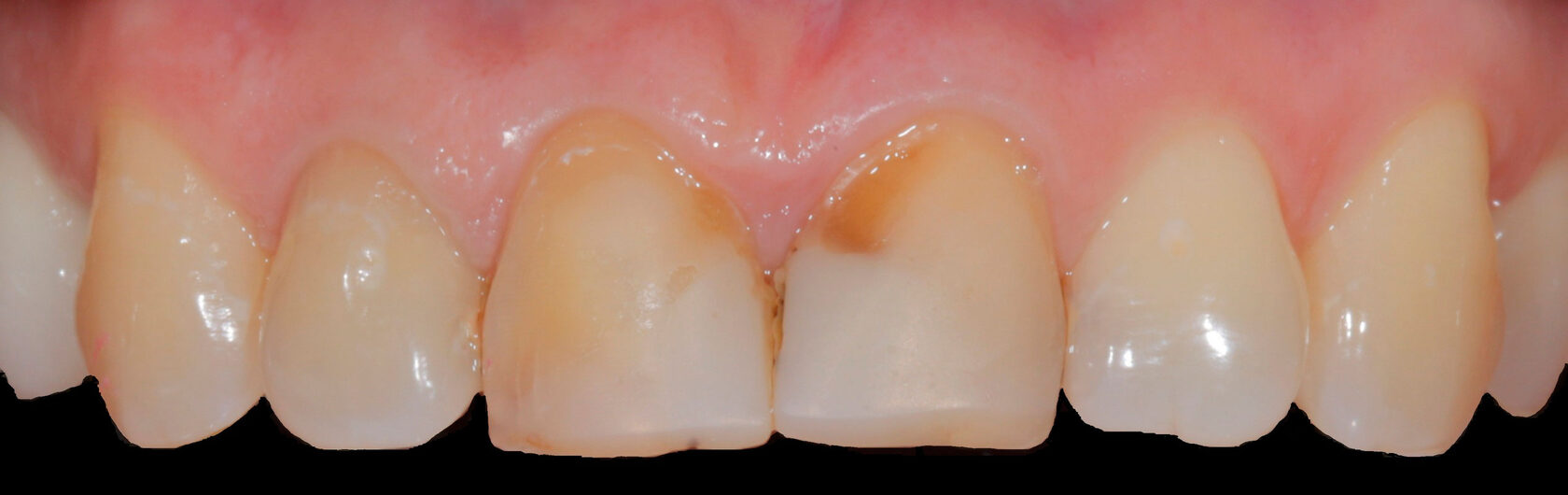
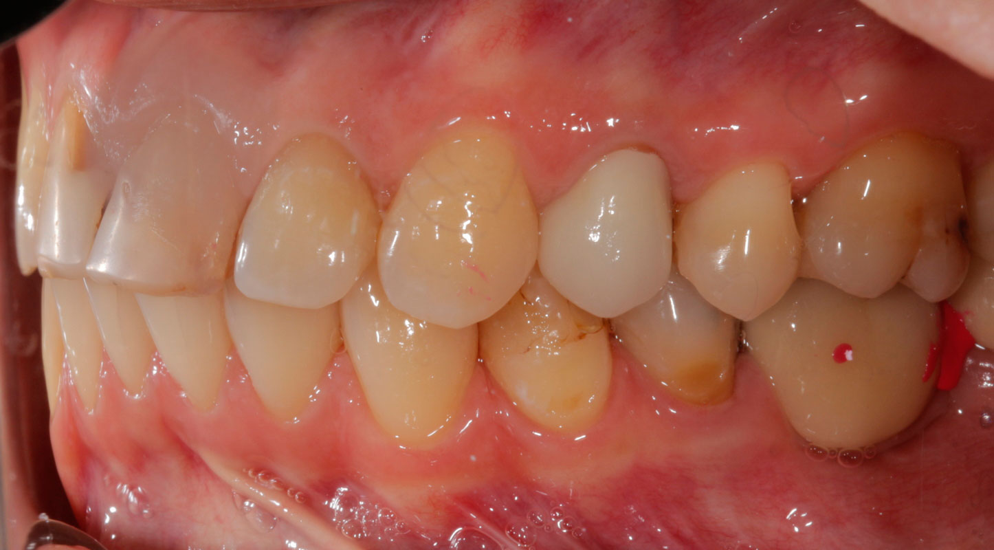
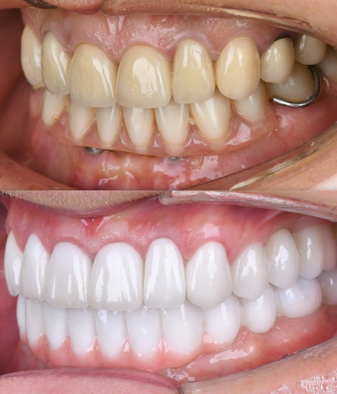
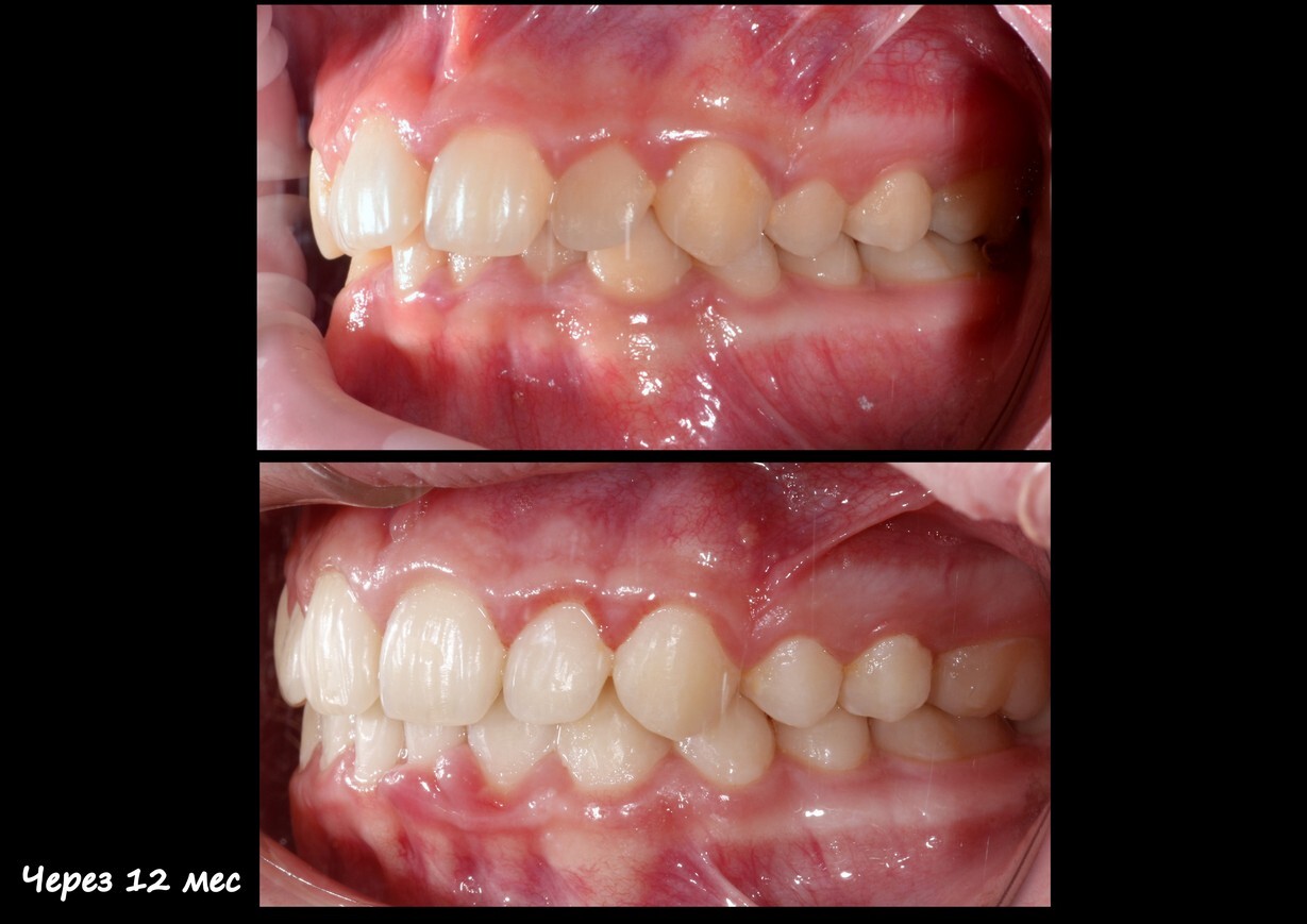
2014г. — Диплом о профессиональной переподготовке по специальности «Стоматология ортопедическая» на базе Российского Университета Дружбы Народов (РУДН) г.Москва.
2014г. — Сертификат специалиста по специальности «Стоматология ортопедическая» на базе Российского Университета Дружбы Народов (РУДН) г.Москва.
2016г. — Диплом о профессиональной переподготовке «Организация здравоохранения и общественное здоровье» НОЧУ ДПО УИЦ «КОМПия» г.Йошкар-Ола.
2016г. — Сертификат специалиста по специальности «Организация здравоохранения и общественное здоровье» НОЧУ ДПО УИЦ «КОМПия» г.Йошкар-Ола.
2018г. — Удостоверение о повышение квалификации по программе «Ортодонтия», Автономная некоммерческая организация дополнительного профессионального образования «Академия инновационной стоматологии» г.Москва.
2018г. — Сертификат специалиста по специальности «Ортодонтия», Автономная некоммерческая организация дополнительного профессионального образования «Академия инновационной стоматологии» г.Москва.
2018г. — Удостоверение о повышение квалификации по программе «Стоматология ортопедическая», Автономная некоммерческая организация дополнительного профессионального образования «Академия инновационной стоматологии» г.Москва.
2018г. — Сертификат специалиста по специальности «Стоматология ортопедическая», Автономная некоммерческая организация дополнительного профессионального образования «Академия инновационной стоматологии» г.Москва.